
L'alluce valgo nell'immaginario comune è un problema soprattutto di natura estetica, ma nella realtà è una patologia assai più grave e dolorosa.
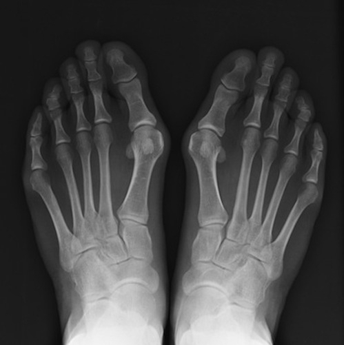
In sostanza la sporgenza dell'alluce valgo altro non è che la testa del primo metatarsale, ovvero l'osso sul quale si articola la falange del primo dito del piede, con sporgendo verso l'esterno con il npassare del tempo provoca l'infiammazione dei tessuti circostanti.
L'alluce valgo è una patologia che colpisce prevalentemente le donne, soprattutto nella fascia d'età 40-60; non sono infrequenti però anche casi riscontrati in ragazze dai 20 ai 30 anni.
La prevalenza del presentarsi del disturbo nel sesso femminile è dovuto principalmente all'utilizzo prolungato di scarpe inadeguate, troppo strette, come per esempio le scarpe col tacco.
Influiscono nelle donne anche i cambiamenti ormonali dovuti alla menopausa, che influenzano in negativo la struttura ossea.
Lo slittamento del metatarsale speso si accompagna alla deviazione dell'alluce verso le altre dita, deformando anche le stesse.
Il disturbo è pericoloso perchè è inizialmente accompagnato da leggeri sintomi facilmente trascurabili, come l'arrossamento o il gonfiore della parte interessata del piede.
Per tempo, l'alluce valgo è facilmente curabile attraverso l'utilizzo di plantari adeguati, che possono scoraggiare le alterazioni delle articolazioni mettendo la testa metatarsale dolente in scarico.
Non bisogna quindi trascurare lievi dolori, gonfiori e arrossamenti.
E' necessario provvedersi di plantari ortopedici, sacrificando ad essi scarpe col tacco e scarpe strette.